Sjukdomar – de är obekväma, obehagliga och till och med ibland dödliga. Det är svårt att hitta någonting positivt att säga om dem över huvud taget, särskilt när de orsakar otaliga dödsfall bara i detta nu. Men i takt med att vetenskapen rör sig framåt och upptäcker mer och mer om dem ökar också chanserna för att hitta lindring och till och med botemedel för dem. En del i forskarnas grundliga granskning är just att undersöka sjukdomarna under ett mikroskop, vilket även har lett till en oväntad insikt: de är, på ett mikroskopiskt plan, extremt vackra.
Det är lätt att hitta någonting vackert i en blomma eller en tavla, men med hjälp av mikroskop kan du till och med ta fram skönhet ur något så obehagligt som dödliga sjukdomar. Det, om något, visar på den otroliga potentialen i mikroskop.

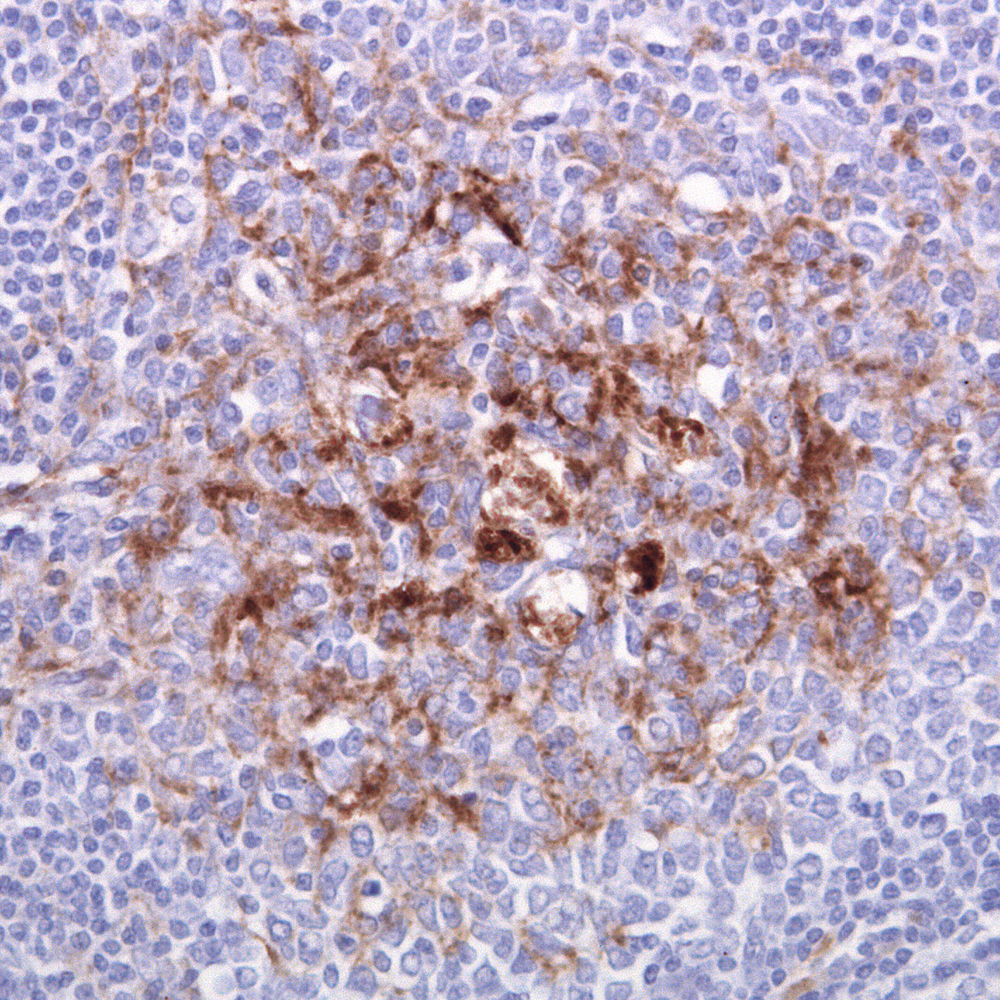
Creutzfeldt-Jakobs sjukdom. Här ser vi en halsmandelsbiopsi av drabbad vävnad som visar de bakomliggande prionerna. Det ser ut som ett abstrakt konstverk som jag personligen gärna hade hängt på min vägg, men verkligheten är någonting totalt annorlunda. Bild av Srbrander, GFDL.
Prionsjukdomar
Prioner är i sig själva inte en sjukdom, utan så kallade infektiösa partiklar – precis som virus och bakterier! Skillnaden är att just prioner orsakar enbart obotliga och dödliga sjukdomar, så som Creutzfeldt-Jakobs sjukdom (en obotlig hjärnsjukdom) och fatal familjär insomni (en annan obotlig hjärnsjukdom som innebär att den drabbade helt tappar förmågan att sova).
Prionsjukdomar orsakas av att ett protein muteras och antar en felaktig form, som sedan kan fungera som en mall som låter andra proteiner fortplantas efter den felaktiga formen. Dessa felaktigt formade proteiner kan sedan bilda komplex genom gemensamma kontaktytor och då finns även risken att de bildar en utfällning i cellen. Länge kunde forskarna inte hitta någon klar orsak till varför djur smittades av till exempel bovin spongiform encefalopati (”galna ko-sjukan”) och människor insjuknade i till exempel Creutzfeldt-Jakobs sjukdom.
Först 1984 lanserade en forskare vid namn Stanely B. Prusiner en teori om just prioner som orsak, och han har efter att ha publicerat flertalet upptäckter som stärker sin teori inte många motståndare. För sina upptäckter vann han år 1997 till och med Nobelpriset i fysiologi eller medicin!
Malaria
Malaria är en sjukdom som smittar människor genom myggbett och orsakas av parasitiska urdjur av plasmodium-släktet. Parasiterna överförs genom myggans saliv in i människans blod och orsakar en mängd obehagliga symptom från feber och kräkningar till koma och död. Malaria brukar oftast upptäckas just genom en mikroskopisk undersökning av den misstänkt drabbades blod! Under bara 2015 drabbades 214 miljoner människor av malaria i världen, vilket resulterade i en uppskattning av 438 000 dödsfall.

De blåa och svarta fläckarna i de röda blodcellerna indikerar främmande cellkärnor från parasiterna.
En plasmodium-parasit från en myggas saliv rör sig över en cell.
De blåa och svarta fläckarna i de röda blodcellerna indikerar främmande cellkärnor från parasiterna.
Svininfluensa
Det är omöjligt att ha undgått det mediala uppmärksammandet av svininfluensa för sju år sedan. Viruset har spridits i vågor sedan så tidigt som 1918, men 2009 orsakade en typ av svininfluensa kallat H1N1 en regelriktig pandemi. Den 11:e Juni 2009 höjde World Health Organization (WHO) den världsomspännande pandemins varningsnivå till fas 6 – den högsta nivån – på grund av smittofall i så gott som alla länder i världen. Svininfluensan orsakar relativt få dödsfall, men fram till mars 2015 hade 1841 dödsfall rapporterats i bara Indien. 2015 kom svininfluensan tillbaka i Indien, med 660 rapporterade dödsfall. Viruset är sfäriskt, och i det yttre lagret ser det ut som att det sitter små piggar.
En bild tagen med hjälp av ett elektronmikroskop av en typ av svininfluensa som kallas H1N1 – den typ av svininfluensa som spreds i en världsomspännande pandemi 2009. Virusen är 80-120 nanometer i diameter! Dessa små, små virus orsakade (och orsakar) många problem, men påminner i sin enkelhet om vackra snöflingor eller iskristaller på ett fönster.
Nekrotiserande fasciit
Nekrotiserande fasciit är en ovanlig infektion med en dödlighet på 73% utan behandling och symptom som stora lila blåsor över det drabbade området och senare celldöd. Med andra ord – en extremt obehaglig sjukdom. Nekrotiserande fasciit – eller som den i folkmun kallas, ”köttätande sjukdom” – ger verkligen inte upphov till några behagliga mentala bilder, men ändå lyckas mikroskopen ta fram en helt annan sida av det.
En bild av nekrotiserande fasciit med nekros (celldöd) i mitten av bilden.
Mikroskop är ovärderliga. De kan bland annat användas för att diagnostisera sjukdomar och göra världsomvälvande upptäckter. Men vem hade anat att de skulle kunna hjälpa oss att se skönhet även i några av de värsta sakerna i världen?
Vill du också upptäcka en ny sida av världen (om än kanske inte en dödlig sjukdom)? Ta en titt på vår köpguide!



